どのような症状ですか?

何事も早めの対応を

定期検診は大切
以下の症状や希望などございませんか?


・歯が痛む・違和感がある・虫歯を治したい・口臭が気になる・歯を白くしたい・入れ歯を作りたい・インプラントに興味がある・定期検診を受けたい・歯のクリーニングをしたいなど。
 
何事も早期発見、早期治療が望ましいです。
お口の中で気になることがございましたら、お気軽にご来院ください。
お待ちしております。
 
定期検診及び、クリーニング
当院では定期検診を強くオススメしております。
これこそが全てのトラブルを防ぐ最高の手段です。
早期発見、早期治療は身体への負担、治療費も抑えられます。
 
そしてその際、経験を積んだ歯科衛生士が超音波スケーラーなどの最新機器を使用して歯石の除去、歯周ポケットのクリーニングなどを行い、ブラッシングの指導や適切な歯ブラシ等のオススメもいたします。
気になることがございましたら、衛生士にもお気軽にお声がけ下さい。

de1_(2)_20180624220111544.jpg implant_dentures_img03.jpg chi.jpg cyo1.jpg p2.jpg
衛生用品

衛生用品も多種ございます。

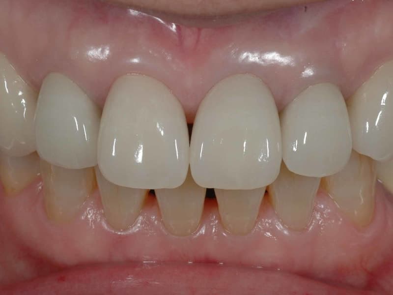
美しさへ、当院の方針

当院の審美部門は、ただ歯が白ければ良い、見かけが綺麗であればよいといった治療ではなく、限りなく天然歯に近い審美性、機能性を回復させます。
 
審美性のみ回復しても被せ物適合がよくなかったりすると、清掃性が悪くなり、見かけはキレイだけど中が汚れている事があります。
「口臭が気になる」これも審美的・機能的に歯を入れると改善することが非常に多いです。
「差し歯の色が気になる」「歯茎の境目が黒い」「金属の詰め物が気になる」など、本当に綺麗になりたい方のお力になります。
是非、ご相談ください。

審美の基本はホワイトニング

白い歯は清潔感、好印象をもたらします。
医院でも、ご自宅でも施術は行えます。


審美

ホワイトニングとは専用のお薬を塗って歯の色素を分解し、歯を削ることなく白くする方法です。

喫煙や紅茶、コーヒーの飲用などによる歯の変色、老化や遺伝による黄ばみにも優れた効果があります。
 
当院では、医院にて行うオフィスホワイトニング、ご自宅で行えるホームホワイトニング、両方行うデュアルホワイトニングを取り扱っております。
患者様のご希望を伺い、最適な方法をご提案いたします。


ポリリン酸プラチナホワイトニング

whi.jpg pori.jpg wh.png
従来の「痛そう、高そう、我慢することが多そう…」といったイメージをくつがえす、まったく新しい施術方法を導入しております。
 
痛みが圧倒的に少なく、白さは従来の3倍、ラジカル2.81倍、短時間の施術で終了でき、施術後すぐにでもカレー、コーヒー等の飲食も出来る優れものです。
白くしたい時に、いつでも出来るのが特徴です。
 
「オフィスホワイトニング」
医院にて行うホワイトニングを「オフィス・ホワイトニング」といいます。
1回の施術でホワイトニングの効果が出るので、短時間で歯を白くしたいにおすすめです。
 
価格:1回目 5,000円 ・2回目 3,000円 ・3回目 3,000円
※格安にて提供しております。
※オフィスホワイトニングの効果をキープするために、いつでも手軽に行える「ホームホワイトニング」を併用する、デュアルホワイトニングがおすすめです。
※価格は全て税別です。
 
「ホームホワイトニング」
ご自宅にて行うホワイトニングを「ホームホワイトニング」といいます。
ホワイトニング専用のマウスピースに薬剤を入れ数時間ほど装着する簡単なホワイトニング方法です。
 
価格: 10,000円(上下1セット)
※格安にて提供しております。
※一度マウスピースを作ってしまえば、その後は薬剤のみの購入も可能です。(1本:3000円)
※価格は全て税別です。

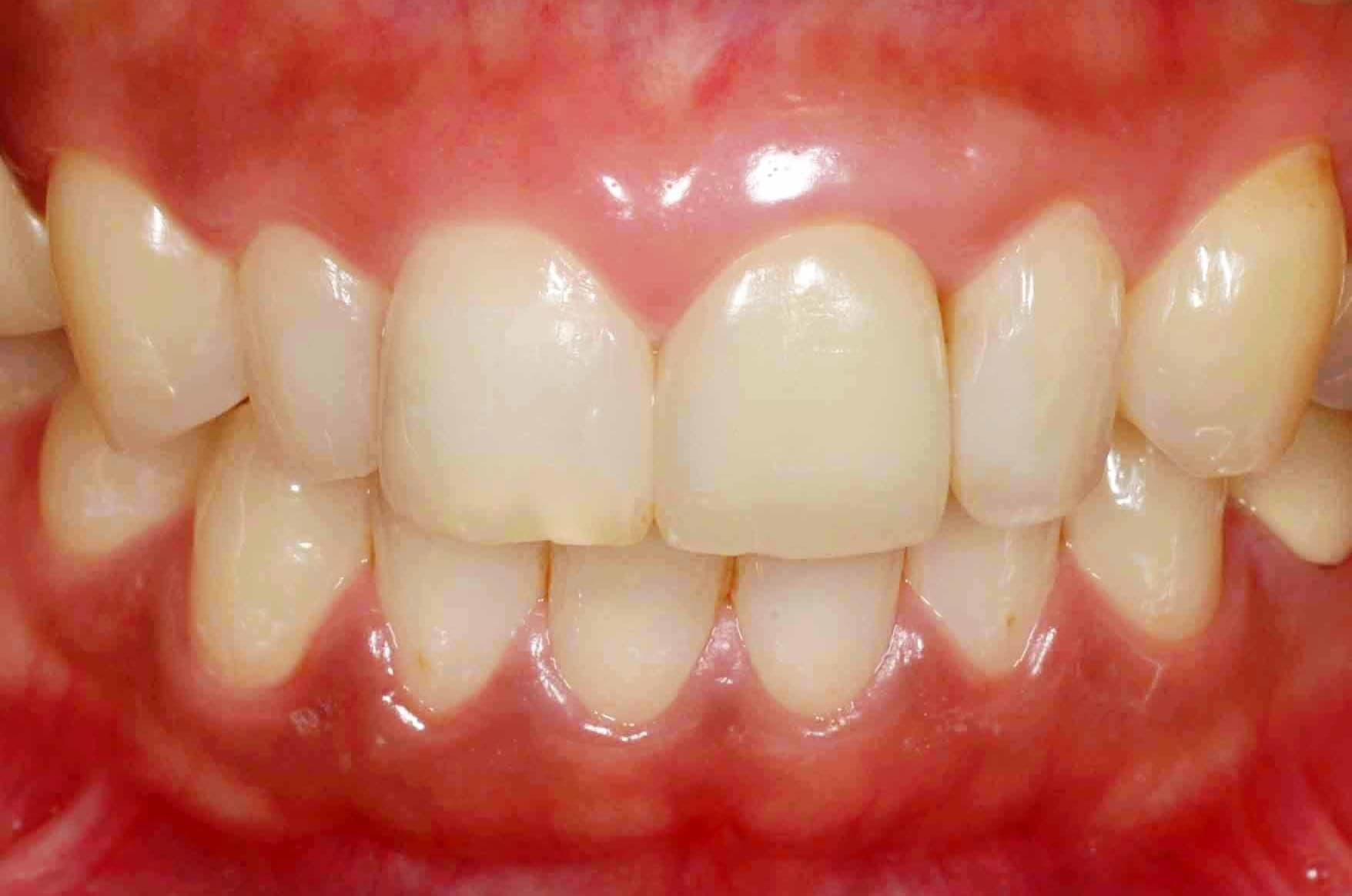
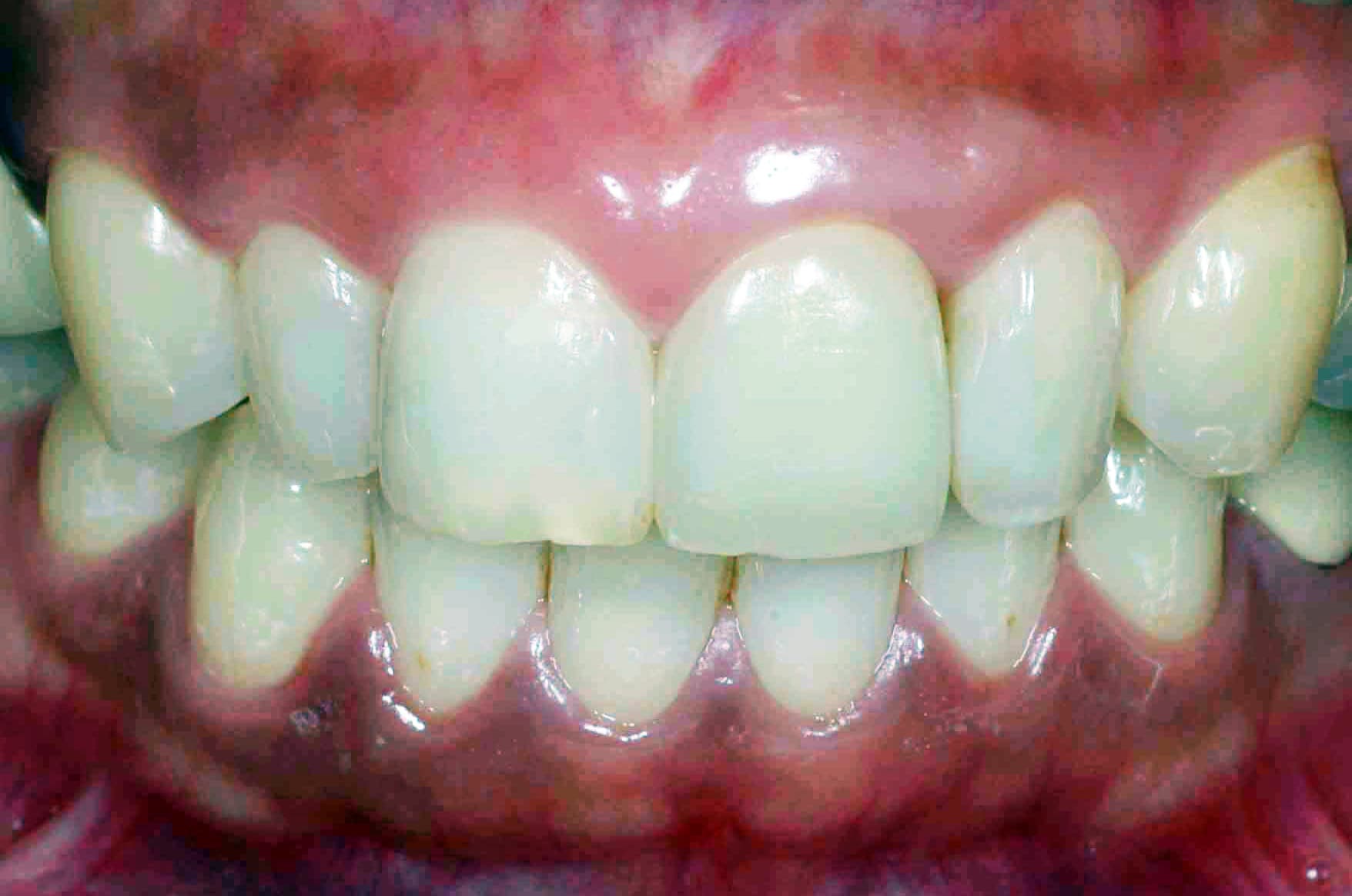
施術前イメージ

施術後イメージ


わずか5ヶ月で綺麗な歯並びに

インビザラインマウスピース矯正


綺麗な歯並びに白く輝く歯
清潔感があり、これほど好印象を与えることはありません。
矯正治療はハードルが高く気軽にできるものではないと思われがちですが、当院で提供するマウスピース矯正は今までの矯正の概念を壊します。
ご相談だけにでも是非お越しください。
 
インビザライン矯正は透明なマウスピースを使用する矯正。
従来からあるワイヤー式矯正には踏み切れなかった方も多いと思います。
・目立つワイヤー
・手間のかかる清掃
この二大問題を解決。
 
3Dスキャナーにて5ヵ月後の歯並びを無料でシミュレーション。
ビフォア&アフターを自分の目で確認してからはじめれます。


矯正費用も頭金なしで、月々8800円から。無料相談受付中です。

invi_02.jpg invi_01.jpg

素材がもたらす審美

天然歯に近いジルコニア、セラミックスなどで銀歯も白く、素材がもたらす審美

審美

差し歯や被せる歯など、保険外診療におきましては様々な素材のものがございます。
審美性はもちろんの事、強度など肝心な点におきましても信頼性がアップする素材が多々ございます。
ドクターと相談の上、ご希望に合った素材の物を選別し、素敵な口元を表現してください。


ジルコニアボンド・オールセラミックス・メタルボンドなど

cera_(2).jpg c4.jpg c5.jpg cru.jpg cru1.jpg in.jpg img20180625184437730556.jpg c7.jpg c8_(2).jpg c9.jpg c8.jpg ※写真が切り替わりますので最後までご覧ください。
 
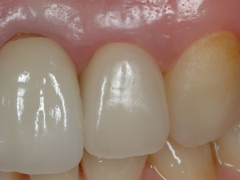
オールセラミックとは
金属を一切使わないセラミックのみでできた被せ物です。
被せものの土台であるコアとよばれる部分にも金属を使用しないため光も通し、天然歯により近い色合いや形態を再現でき、歯を美しく生まれ変わらせます。
 
透明感のある自然な歯に
オールセラミッククラウンの最大の特徴は、自然の歯のような透明感を出した被せ物を作ることができることです。
歯には神経があり黄色っぽい象牙質と歯の表面を覆っている透明なエナメル質があります。
このエナメル質の透明感を自然に作る事ができるのがオールセラミッククラウンなのです。
 
自分好みの白さにできる
今まで自分の歯が黄色や灰色だったので、被せる時はきれいな歯の色にしたい。
このような要望にも応えられるのがオールセラミッククラウンです。
周りの歯の色に合わせたい、周りの歯の色より少し白くしたいなど、色を自由に選択することができます。
 
歯茎が黒くならない
金属を使う保険の差し歯やメタルボンド(金属の表面にセラミックを焼き付けたもの)の場合、金属が歯茎に漏れ出し、歯茎が黒くなってしまうことがあります。
特に金属の土台を使うと土台が黒くなりやすいです。
一度黒くなってしまった歯茎は刺青のようになり、被せ物を後から変えても、歯茎の色が戻らないのです。
そのため前歯には金属を使わない治療をお勧めします。
 
素材詳細
ジルコニア単体
透明感高く、強度も非常に強く、主に臼歯へ使用しております。
金属を一切使用しないため、金属が溶け出すことによる歯ぐきの変色、金属アレルギーなどの心配がありません。
一歯:60000円
 
ジルコニアボンド
白いフレームの上にセトを盛り焼き上げた高品質な品物。
金属を一切使用しないため、金属が溶け出すことによる歯ぐきの変色、金属アレルギーなどの心配が無く、強度も強いので、奥歯やブリッジに使用することも可能です。
見た目は限りなく天然歯に近く、前歯にも奥歯にも使えます。
一歯:95000円
 
メタルボンド
銀の土台の上に天然歯に似た色調と透明度、耐摩耗性、耐変色性に優れた陶材を溶着したもので、金属の持つ強度と陶材の持つ審美性を兼ね備えています。
中の金属に貴金属を使用すれば、金属が溶け出すことによる歯ぐきの変色、金属アレルギー
などが起こる可能性を低くすることも出来ます。
前歯にも、臼歯にも使えます。
一歯:75000円
 
インレー
インレーとは被せものではなく、詰め物の事です。
削った形に成形された天然歯に近い色調、透明度のセラミックで形成された詰め物です。
ジルコニア単体:50000円
eMax:40000円
※価格は全て税別
 

ジルコニアボンド

セラミック&メタルボンド

インレー

多種多様な入れ歯にてご対応

快適さの追求

「あ~いいわ!」とのお言葉をいただけるよう努めてまいります。


保険対応の入れ歯はもちろんの事、審美性の高いクラスプとよばれる鉄のバネがない入れ歯や、全てがプラスチック素材ではなく、薄くて快適な金属を併用した金属床、そして歯茎に当たる部分にシリコーンを使ったコンフォート入れ歯など、皆様が快適な生活を送る事が出来るようご提案、製作、調整をしてまいります。


保険対応・ノンクラスプ・シリコーンなど

ire7.jpg sm4.jpg sm8.jpg ire11.jpg kin.jpg ※写真が切り替わりますので最後までご覧ください。
 
保険対応の入れ歯には使える素材など決まりがあり限界がありますが、保険外にて製作する入れ歯は多種多様でございます。
噛むことの大切さ。
入れ歯はこだわるべき大切なツールだと思います。
ベストなものを選び快適な生活を送りましょう。
 
保険対応義歯
保険の入れ歯は使う材料の種類が限られているため、場合によっては残っている歯の色、形とのバランスが悪くなることがあります。
留め金があり、残っている歯を取り囲むようにして入れ歯を固定するため、歯の状態によっては、笑ったときに見えたり、多少口の中で違和感があります。
樹脂製の義歯は割れやすいので、かなり厚くなっています。
また、熱を伝えにくい材質なので、食べ物の温度、味覚が感じにくくなります。
 
ノンクラスプデンチャー
審美性を追及した、バネの無い入れ歯です。
入れ歯と気づかれにくく、自然な笑顔でいられます。
吸水性が低いので表面に雑菌が付きづらいため臭くなりにくく人体へのなじみも良いです。
また、金属アレルギーの心配もなく、快適で自然な審美性の高い入れ歯です。
片側:10万円
両側にまたがる場合:20万円
※価格は全て税別です。 
 
コンフォート義歯
入れ歯と接する上あごや歯ぐきにかかる負担を軽減するために、生体用シリコーンというクッション性の高い素材を使った入れ歯です。
痛くて噛めない、外れやすいといった悩みが軽減され、シリコーンの粘弾性が咬合力をアップし、消化粘膜組織及び歯槽骨の保護により、長期にわたる義歯の維持・安定を実現します。
 
金属床
入れ歯の土台となる床部分がレジン(プラスチック)だけでできています。
このレジン床入れ歯は、材質的にあまり薄いと割れてしまいますので、ある程度の厚み(2mm程度)が必要です。
また、熱を伝えにくい材質なので、食べ物の温度、味覚が感じにくくなります。
 
金属床は土台となる床部分が、コバルト、チタン、白金、金、トルティッシュなど、金属でできています。
金属を使うので、しっかりと固定され、たわまない丈夫な入れ歯ができます。
レジン床に比べ薄く作れるので装着感も良く、熱を伝えやすいので、温かいもの、冷たいものを食べたときに違和感が少なくなります。

金属床とプラスチックの違い

金属床

シリコーン使用コンフォート

 

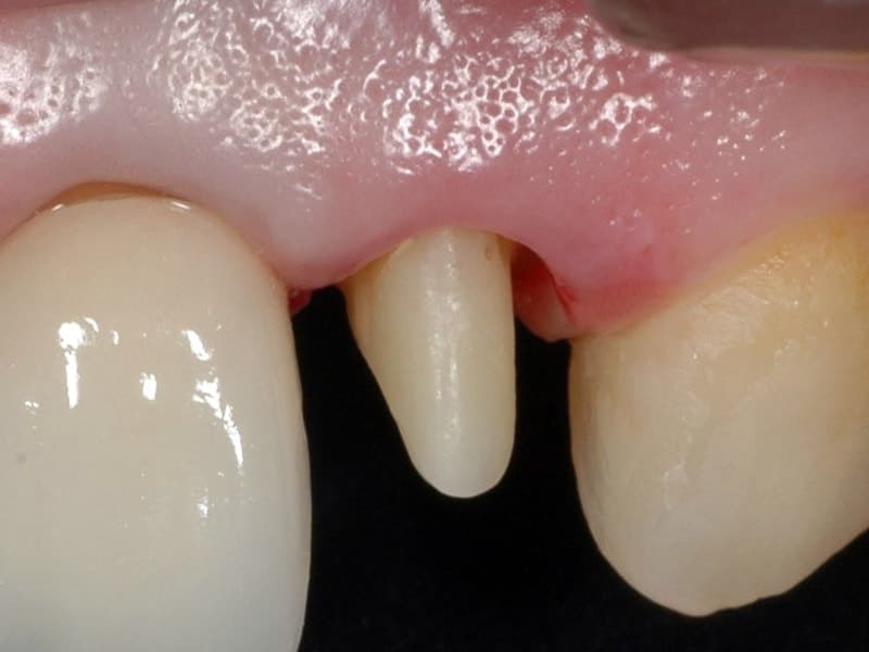
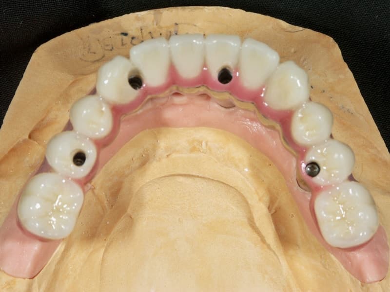
失った歯を補う最先端医療

自分の歯で噛んだ感覚を取り戻す

術代、土台、被せ物など全て込み、1本35万円(税別)にて提供


失った歯を再現し咬合を回復する現代歯科医学の中ではインプラントが最も最良の治療法と考えられております。


様々なメーカーより最適をご提案

ct2.jpg imp3_(2).jpg a42.jpg a43.jpg a410.jpg a44.jpg
※写真が切り替わりますので最後までご覧ください。
 
現在、インプラントメーカーは世界中にかなりの数があり、日本にも様々なメーカーが進出してきています。
お気軽にお問い合わせ下さい。
 
当院にて採用しているメーカー
・ノーベルバイオケア
・アストラテック
・オステム
 
一本:35万円税別(上部構造はジルコニアスクリュー)
※詳しくはご予約の上、無料相談にお越しください。
インプラント詳細

アストラテック

ガイドを使用した施術

一歯のインプラントイメージ

2本のインプラントによるブリッジイメージ

 
 
 

当院は予約優先制となっております。
事前のご予約をお勧めいたします。
また、急なトラブルはもちろんの事、口腔内で何かございましたら、お電話にてお気軽にご相談下さい。